Double eyelid surgery (Asian blepharoplasty) gallery

Double eyelid surgery, also known as Asian eyelid surgery or Asian blepharoplasty is a unique procedure used to create or enhance an upper eyelid fold in those who lack the fold from birth or who have weak or uneven folds. Common in people with Asian ethnicity, the absence of an eyelid fold is due to an anatomic difference in the eyelid structure when compared with those with a natural crease. 

 

There are several techniques that are possible for creation of a natural and beautiful eyelid fold, however the first step is to understand what results are desired and what will look natural to suit the facial characteristics.

 

Unlike conventional upper eyelid blepharoplasty, where the goal is simply for skin reduction and freshening of the tired eyelid appearance, double eyelid surgery actually involves reducing only a minimal amount of skin and using the excess to create a fold that will enhance the eyes and provide the appearance of larger, more defined eye shape.

 

Dr Ahn specialises in double eyelid surgery or Asian blepharoplasty in Sydney and through his Korean background and additional specialist training at a number of highly reputable clinics and hospitals in Seoul, South Korea, has developed an extensive knowledge and technical expertise in how to create these results for you. 

Incisional Double Eyelid Surgery

 

Traditional double eyelid fold creation relies on an incision along the line of the desired eyelid crease. The advantage of this technique is in its versatility. By creating an incision, Dr Ahn is able to reduce skin excess and remove excess muscle and orbital fat that is preventing upper eyelid fold creation.

 

Assessment of whether this technique is suitable for you is conducted during your consultation. If you have concerns about your eyelids feeling heavier or blocking your vision, or have always disliked how puffy your eyes appear, chances are that you may require an incisional Asian blepharoplasty by Dr. Chris Ahn. Although less common (20%) in younger patients, due to its ability to adjust multiple factors in the upper eyelid, the incisional double eyelid surgery can sometimes be the best choice for you to achieve beautiful, natural eyelid shape with permanent results.

 

Unlike the non-incisional technique, the reason that incisional surgery is permanent is that it creates an adhesion plane between the skin and the deep tissues of the upper eyelid that forms a tether point for the upper skin to fold over thereby creating an eyelid crease. This adhesion is created through your body's own healing from the surgery and therefore does not rely on a suture only to create the fold. Sutures inevitably will fail with time, whereas these adhesion tether points are permanent and will not fail. The technique allows scar formation between the skin and the tarsal plate 

 

Having control of these factors does come at a cost however - the most significant disadvantage of this technique being that due to the dissection required, the duration of post operative swelling is generally longer than non-incisional surgery and therefore it can take longer for your swelling to reduce and up to six weeks before your final results can be expected.

 

Nevertheless, if this techique is right for you, Dr. Ahn will explain the reasons why and guide you through your decision. By providing the ability to finely adjust eyelid thickness and modify crease shape, incisional double eyelid surgery may be recommended as the best option to achieve natural results

 

 

Non-incisional Double Eyelid Surgery

 

A newer development for Asian blepharoplasty (double eyelid surgery) is to use a non-incisional method which relies on a permanent suture to create a tether point.

 

Although the scar from incisional double eyelid surgery is usually very faint and invisible with the eyes open, non-incisional Asian blepharoplasty takes this one step further, by making the entire procedure scarless even with your eyes closed.

 

The procedure involves making five small puncture holes, through which a permanent sutures in introduced that pulls your outer skin down on to your tarsal plate (the fibrous structure that provides framework to your upper eyelid). As there is no dissection involved, the distinct advantage of this technique is that the procedure is shorter (one hour versus two) and has faster resolution of swelling that traditional incisional surgery. Many patients will have minimal swelling by 3 days post operatively and most will disappear by 2 weeks after your operation. 

 

The procedure however is not permanent - on average it will last 10 years. It also does not allow for any removal of excess skin and is not strong enough to create a double fold in those with thicker upper eyelid skin so it has its limitations. Failure of the suture after a period of time will not necessarily prevent your ability to have the procedure again however and some may go on to have further non-incisional surgery rather than converting to an incisional Asian blepharoplasty.

 

During your consultation, Dr. Ahn will use his expertise in double eyelid, or Asian blepharoplasty surgery to assess whether this option is best for you and your desired results. Generally, younger patients who are able to create folds artificially through stickers or glue are good candidates for a non-incisional double eyelid technique while those with thicker skin or requiring removal of drooping skin will have a better outcome from traditional incisional blepharoplasty.

 

 

 


Before & After photos

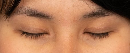
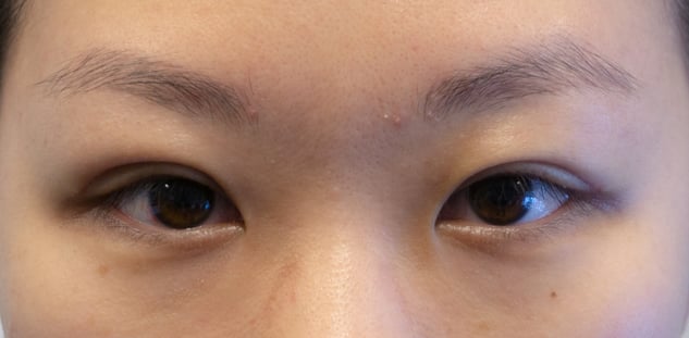
Incisional double eyelid surgery with medial epicanthoplasty

This patient in her 20s had a low but naturally occurring fold and some heaviness in both upper eyelids. She chose to have an incisional double eyelid operation with medial epicanthoplasty to gain some subtle sharpening of her inner corner.

 

A medial epicanthoplasty can slightly increase the amount of show of the tear duct apparatus which makes the eye opening look wider and can help to define the position of the start of the double fold better in patients who choose to have Asian blepharoplasty with a pre-existing heavy fold. 

 

Post operative photos are shown at 6 weeks after the procedure with minimal noticeable swelling and no significant scarring with the eyes closed



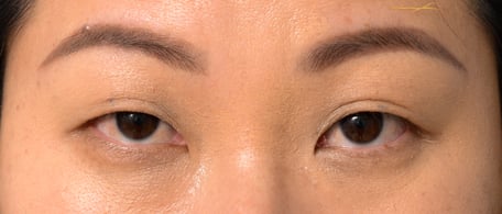
Incisional double eyelid surgery with medial epicanthoplasty

Before and after photos of 30 year old patient after bilateral incisional double eyelid surgery and medial epicanthoplasty.

 

Post operative photos are shown at 4 months after the procedure with well maturing scarring and correction of asymmetry



Non-incisional double eyelid surgery

Before and after photos of patient in her 20s after non-incisional double eyelid surgery. 

 

The proecure was used to stabilise and raise her right eyelid fold and to symmetrise by creating a left upper eyelid crease.

 

Post operative photos are shown at 3 months post procedure



Non-incisional double eyelid surgery

Before and after photos of patient in her 20s after non-incisional double eyelid surgery. 

 

The proecure was used to raise both eyelid crease height which is possible in some circumstances

 

Post operative photos are shown at 3 months post procedure


Incisional double eyelid surgery

This patient in her 30s received an incisional double eyelid operation due to concerns regarding the heaviness of her upper eyelids and the lack of an eyelid fold. The reasons for her choice in technique were discussed during her consultation and considering the amount of excess upper eyelid skin, her eye shape and the asymmetry in thickness of her upper eyelids meant that an attempt at non-incisional double eyelid surgery would likely be unsuccessful and or result in a eyelid crease that is asymmetric and too low. Extra or loose upper eyelid skin will result in hooding of the skin over any fold that is created and needs to be excised or removed to allow the eyelid fold to show. The open technique of incisional double eyelid surgery also allows for a far better control of asymmetry when you have a difference in eyelid shape or thickness. 

 

The first post operative photo shows the patient at 2 weeks post operation. There is still moderate swelling, however the scars (image 3) heal well. Through the incisional double eyelid surgery, drooping skin and extra muscle and fat were removed to allow the fold to be created and reduce the heaviness of the upper eyelid.

 

The final image shows the patient at 6 weeks post operation. There is still minor swelling, however the folds are beginning to thin and create a more natural eyelid shape. The patient has good symmetry and a more open and defined eyelid appearance.



Incisional double eyelid surgery and right eye ptosis correction

This patient in her 30s had a pre-existing but weak natural fold on her left eye and no fold on her right eye. Both eyes are affected by moderate skin excess while her right eye has ptosis caused by a weak activation her her levator muscle - the muscle which allows opening of the eyelid.

 

A bilateral incisional asian blepharoplasty was performed with a correction of ptosis of her right eye to improve her asymmetry in eye opening.

 

Post operative photos are shown at 3 months post op with correction of her asymmetry and a natural result with double eyelid fold formation



Bilateral incisional double eyelid with skin reduction

This patient in her 30s wanted to reduce the heaviness in her eyelids with reduction of skin excess and fat content while creating a double eyelid fold. No pre-existing fold was present

 

An incisional double eylid operation was performed to create distinct double eyelid folds while allowing removal of excess skin and fat.

 

Pictures are shown at 4 weeks post op with majority of swelling settled and a good result


Bilateral incisional double eyelid surgery with revision

This patient chose to have bilateral incisional double eyelid surgery with initial excellent results. Unfortunately with time her brows relaxed as often happens with skin resection and she required a small revision for increasing her fold height 1 year post operatively. Her 'after' photo is shown at 6 months post revision surgery. 

 

Revisional double eyelid surgery is far more common than the general perception of this operation. As the eyes are always exposed, any result that is even slightly asymmetric or irregular prompts the need to consider revision surgery. Unfortunately it is all too common that patient's have this procedure overseas and return with major issues and significant scarring making any revision a difficult challenge

 

Having trained with some of the best revision eyelid surgeons in South Korea, Dr. Ahn specialises is revision double eyelid surgery and as such takes many additional steps in his own primary double eyelid surgery to reduce scarring and preserve normal anatomy to make any potential secondary adjustment procedure a very simple operation.



Bilateral incisional double eyelid surgery with outfold

This patient in her 30s wanted to lift and symmetrise her eyelid creases and chose to ahve bilateral incisional doubleye eyelid surgery with maintenance of her out-fold inner corner appearance.

 

Before and after photos are shown at 6 weeks post op



Incisional double eyelid surgery with skin reduction

This patient in her 40s wanted a more defined rejuvenation of her eyelids with reduction of the skin redundancy and heightening of her low double eyelid folds. Although there was a very thin pre-existing double fold this has been covered by skin drooping.

 

An incisional double eyelid procedure was recommended for excision of the excess skin and creation of a higher, more distinct eyelid crease and to improve the heaviness of her eyelid appearance.

 

Results are shown at 3 months post op with a well matured scar and all swelling settled with a natural and symmetric result



Non-incisional double eyelid with medial epicanthoplasty

This patient in her 20s received a bilateral scarless non-incision double eyelid surgery combined with a medial epicanthoplasty procedure. For Asian blepharoplasty, one of the desires is to create a wider, brighter eye opening which can reduce the heaviness and tired appearance of an eyelid.

 

Medial epicanthoplasty can be performed at the same time as a double eyelid surgery under local anaesthesia while still being completed as an in office procedure by Dr. Chris Ahn. The process ads approximately 45 minutes to your operating time and requires suture removal at 5 days post op. In patients with a thicker inner eye corner, medial epicanthoplasty can help to open up the eyes and to create an attractive starting point for your double eyelid fold that can otherwise be dragged down without this combination.

 

Photos are shown at 3 months post procedure



Non-incisional double eyelid surgery

Patient in her 20s with bilateral non incisional scarless double eyelid surgery. 

 

The natural line of her double eyelid crease falls into an 'mixed fold' position. While ther direction of the fold heads towards an infold, the line does not quite touch her inner corner. This can lead to a very natural appearance and is achievable in patients without heavy inner corner skin draping. 

 

Photos are shown at 3 months post procedure



Non-incisional double eyelid surgery

Patient in her 20s with bilateral non incisional asian eyelid surgery. 

 

At times, stretching of the lower part of the eyelid due to age or mechanical causes such as long term double eyelid tape and mean that this area has loose skin that causes a 'messiness of the folds. 

 

One disadvantage of non-incisional surgery is that there can be no removal of extra skin performed. While this can be a problem for some eyelids, dependant on personal preference this can also lead to a very natural appearing eyelid result and some patients will prefer this rather than choosing to change to incisional double eyelid surgery. 

 

Photos are shown at 3 months post op



Non-incisional double eyelid surgery

Patient in her 20s with non incisional double eyelid surgery used to add height to her pre-exisiting double eyelid folds. 

 

While non-incisional scarless Asian eyelid surgery is usually performed to create folds when folds are not pre-existing, the technique can also help to raise fold height caused by a weaker double eyelid crease. 

 

Photos are shown at 6 weeks post op



Non-incisional double eyelid surgery

Patient in her 20s. Non-incisional double eyelid surgery to create increased fold height. 

 

Precise placement of the non incisional suture technique allows for control of the infold shape so that the inner corner crease begins at the opening point of the eye. This creates a nature, flaring shape of the double eyelid crease which follows the shape of the eye opening.

 

Photos are shown 3 months post op



Non-incisional double eyelid surgery

This patient in her early twenties chose to have a non-incisional double eyelid operation to address her congenital abscence of upper eyelid fold. Patients who have minimal skin excess and have had success at creating folds with stick-on products or glue type products in the past are ideal candidates for the procedure. 

 

After deciding on an infold or outfold line and the desired crease height, a simulation of the crease is created and the final design is marked based on the crease position that naturally enhances the eyes.

 

Her early post operative results at 1 week after her operation shows minimal swelling and bruising which will settle over the next few weeks. The results show good symmetry and a natural, infold line with and no scarring when the eyelids are closed

 

Final photo shows results at 6 weeks post op, with the majority of swelling now settled showing a natural infold result using the non-incisional double eyelid technique




Non-incisional double eyelid surgery

This patient in her 20s had a low but naturally occurring fold and some heaviness in opening her left eye. A non incisional double eyelid operation was performed after consultation to allow for minor adjustment of the shape of her eyelid crease and to strengthen her eyelid fold.

 

Subtle changes in the starting point of the upper eyelid infold can make a significant difference in the definition of the Asian eyelid. By strengthening the fold, and bringing the double eyelid closer to the inner corner of the eye, the eyes look brighter and better defined. 

 

Post operative photos are shown at 2 weeks after the procedure with minimal noticeable swelling and no significant scarring with the eyes closed



Non-incisional double eyelid asymmetry correction

This patient in her 20s had a subtle natural double eyelid crease in her left eyelid, however not fully formed and no crease in her right eyelid and sought help with correction of her asymmetry.

 

She specifically wanted to keep her folds low and even in height and to recreate a natural appearing infold with minimal down time and a faster recovery than traditional blepharoplasty.

 

A bilateral non-incisional Asian blepharoplasty was performed for her, with a low height to correct her asymmetry and deepen the natural fold on the left side.

 

Post operative photos are shown at 6 weeks after her operation



Asymmetric eyelid correction

Non-incisional Asian double eyelid surgery technique was used in this patient in her 30s to create a matching double eyelid fold in her right eye. 

 

This procedure was performed under local anaesthesia in under 30 minutes in office. Down time was 1 week and has resulted in excellent symmetry of the patient's eyes with a natural result which will last years. 

 

Photos are shown at 3 months post op



Non-incisional double eyelid with Medial epicanthoplasty

This patient in her 20s had no double eyelid fold and wanted creation of her folds as an infold. Due to overlying skin excess, the simulated fold was unable to be created from the inner corner of her eye and she therefore required a medial epicanthoplasty procedure to decrease the heaviness of skin and muscle in her inner eyelid corner which was dragging her eyelid tissues down.

 

Results are shown at 6 months post op to the right eye with natural settling of the inner corner release. Her left upper eyelid required a revision of the fold height as more excess skin was present in the left eyelid causing overhang and a lower initial fold creation. Results are shown at 2 weeks post left eyelid revision with improved symmetry of her fold height



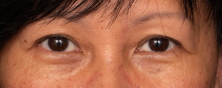
Revision incisional blepharoplasty with ptosis repair

This patient in her 30s had previously had a bilateral incisional double eyelid blepharoplasty attempted 20 years ago which failed. She came to see Dr. Ahn to try to rectify the problem and wanted a proper double eyelid crease formed. During the consultation, it was suspected that there had been some damage to the levator aponeurosis - the muscle which elevates the eyelid in both eyes.

 

A revision incisional double eyelid procedure was performed and the suspected injury was confirmed on table. The traumatically separated muscle was reattached in the correct anatomic position and a proper double eyelid fold was created to both sides.

 

Pictures are shown at 2 weeks post op with slightly more swelling remaining on the left compared with the right eye. Results show a completely transformed eyelid appearance with loss of the hollow sinking caused by incorrect attachment of the upper eyelid levator.



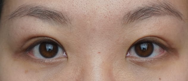
Bilateral incisional double eyelid with skin reduction

This patient in her 40s wanted a rejuvenation of her upper eyelids with reduction of the skin redundancy that had formed over the years. Although there was a very thin pre-existing double fold this has been covered by skin drooping.

 

An incisional double eyelid procedure was recommended for excision of the excess skin and creation of a higher, more distinct eyelid crease and to restore a more defined and open upper eyelid appearance.

 

Pictures are shown at 8 weeks post op with well matured scar and all swelling settled with a natural and symmetric result.



For more information regarding the results below please click this link to go to our instagram gallery